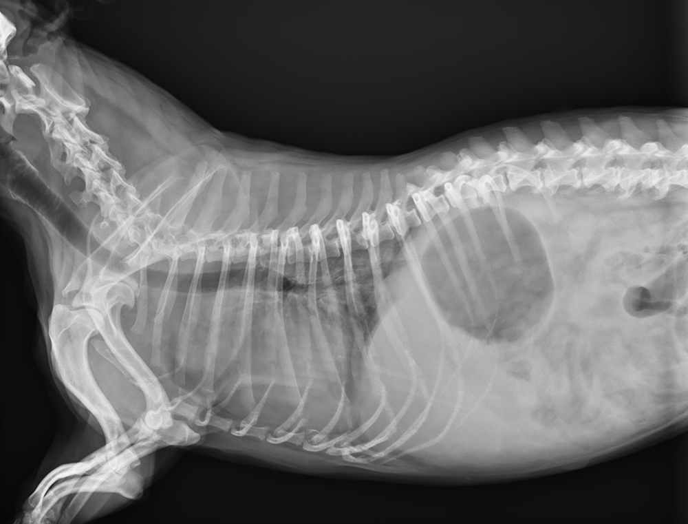
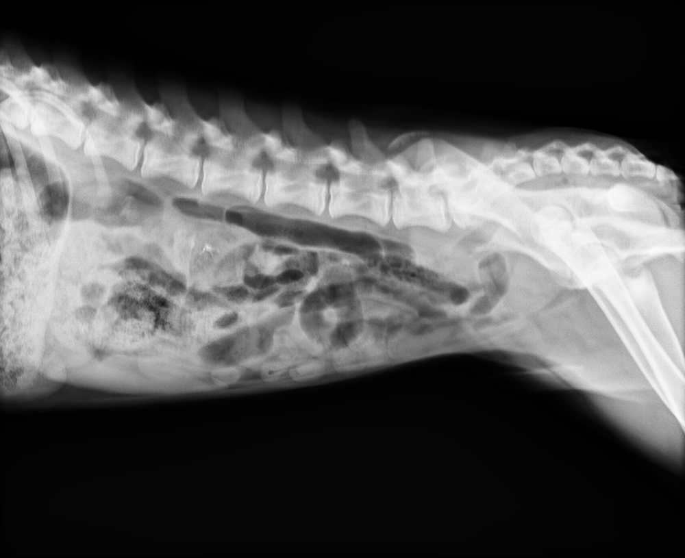
上(shàng)海(hǎi)鵬峰寵物(wù)醫(yī)院 2016/7/29 上(shàng)一(yī)篇: 上(shàng)海(hǎi)安安醫(yī)寵心安寵物(wù)診所 下(xià)一(yī)篇: 上(shàng)海(hǎi)藍(lán)晶寵物(wù)診所